オミクロン・メディカル ジャパン株式会社(英文名 OMICRON MEDICAL JAPAN CORPORATION)
〒169-0051 東京都新宿区西早稲田2-14-1
病理診断とは、腫瘍や疾患などの有無、悪性度、転移などを診断する医療行為です。
従来の病理診断の基本プロセスは、患者さんから採取した病変組織を2次元に薄くスライス、染色して病理標本を作り、病理専門医が光学顕微鏡を用いて観察及び診断を行うものです。今日まで利用されてきている手法ですが、病変組織を物理的に薄切してから2次元画像を取得するため得られる情報が限定されてしまう、また病理専門医は限られた情報を元に診断を行うため、高度な知識や経験が必要といった課題があります。
ドイツQuader Diagnostik社では、従来の病理診断における課題を解決するために、3次元イメージングに基づく病理診断(3次元病理, 3D Pathology)の推進を行っております。そのプロセスは、患者さんから採取した病変組織を試薬を用いて透明にし、ライトシート顕微鏡という特殊な顕微鏡を用いて3次元イメージングを行うものです。従来方法とは異なり、病変組織を薄切せずに3次元構造を維持したまま観察できるため多角的、複合的な情報が得られ診断精度・客観性の大幅な向上が期待できます。

3次元病理を実現するために研究・開発された製品である「3D Patho」は、組織透明化試薬ROCCIT*、プロセス自動停止電気泳動チャンバー、透明化した組織を3次元観察するライトシート顕微鏡”3D Scanner”によって構成されています。
*Rapid Optical Clearing for the Clinical Imaging of Tissuesの略
「3D Patho」の研究・開発が行われたドイツでは、生検組織診断を48時間以内に行わなければならないというルールが存在しますが、通常、組織透明化には時間がかかり、特にヒトの組織を用いる場合には2週間以上かかってしまうこともあります。
Quader Diagnostik社では上記のような厳しい時間的制約がある中で迅速に3次元病理を行うために、全く新しい透明化試薬「ROCCIT」を開発し、そのプロセス中に電気泳動を用いることで、透明化が難しいヒト組織を8時間以下*で透明にすることが可能になりました。
また、従来の電気泳動法による透明化とは異なり、微小な電流しか流さないため組織へのダメージはほとんどなく、構造の保持性、保存性に非常に優れているのも「ROCCIT」試薬の特徴の1つです。
*7-8mm角の組織の場合


ROCCITプロセスでは電気泳動を用いて積極的に脂質を除去します。
Quader Diagnostik社の電気泳動チャンバーシステムは、チャンバー内サンプルのコンダクタンスを常時モニターしています。コンダクタンスは数値およびグラフで可視化されるため、電気泳動の終了タイミングを視覚的かつ直感的に判断できます。

Quader Diagnostik社では透明化組織を3次元イメージングするためのライトシート顕微鏡「3D Scanner」も合わせて提供しております。
ライトシート顕微鏡では、透明化した組織側方からシート状のレーザー光を入射し、照射エリアに対して垂直方向からカメラと対物レンズを用いて撮像することで2次元の光学断面画像を取得します。
Zスキャンステージと組み合わせることで、サンプル構造全体にわたって2次元画像を取得し、それらを再構築すると3次元画像を生成することが可能です。
「3D Scanner」は、病理診断ワークフローへの導入を念頭に、どなたでもわかりやすく制御できる構成、仕様になっています。
また、透明化組織は使い捨てサンプルホルダーに入れて、観察テーブルに設置するだけなので、観察サンプルを溶液で満たされた顕微鏡内部チャンバーに出し入れする煩わしい作業がありません。



組織透明化は、組織内部の構造を三次元的に観察するための技術です。ROCCITは自家蛍光を観察することを想定していますが、一方で、「透明化処理後の組織が従来の病理染色に使用できるのか」という点は、導入を検討される際に気になるポイントの一つです。
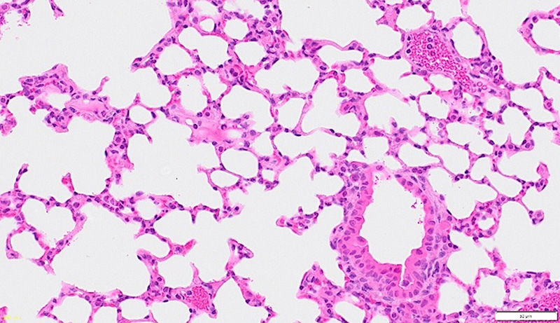
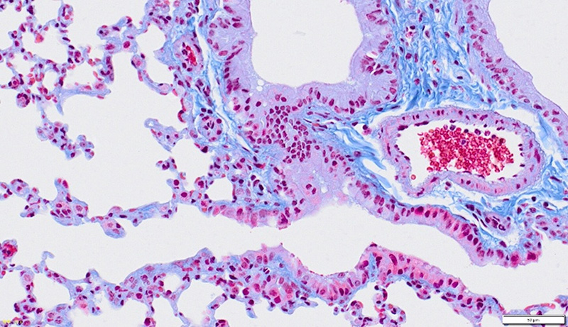
本検証では、透明化処理を行ったマウス肺組織を用いて、透明化後の組織に対する病理染色の適用性を評価しました。
透明化処理を行った組織は再度パラフィン包埋を行い、薄切切片を作製した後、スタンダードプロトコルに従ってHE染色およびMT染色を実施しています。
透明化処理を行ったマウス肺組織を再パラフィン包埋後に薄切し、スタンダードプロトコルでHE染色を実施しました。肺胞構造および肺胞隔壁が良好に観察され、細胞核も明瞭に確認されました。また、管腔構造も認められ、肺組織としての基本的な形態が維持されている様子が確認されました。

同様に、透明化処理を行ったマウス肺組織を再パラフィン包埋後に薄切し、スタンダードプロトコルでMT染色を実施しました。肺胞構造および肺胞隔壁が観察され、結合組織に対応する青色染色が確認されました。また、管腔構造および血管様構造も認められ、肺組織としての基本的な形態が維持されている様子が確認されました。
透明化処理後においても、再パラフィン包埋および各種染色により、肺組織の基本的な組織構造および結合組織成分が良好に保持されていることが確認されました。

ROCCITのプロセスでは処理工程の一部に電気泳動プロセスが含まれますが、今回の観察結果からは、組織構造および染色性に関して顕著な変化は認められませんでした。 これらの結果から、透明化処理後の組織においても、従来の病理染色と組み合わせた組織解析が可能であることが示唆されます。
| 品名 | 型番 | 内容量 |
|---|---|---|
| 脱脂剤1 | PT1 | 120ml |
| 脱脂剤2* | CL2 | 500ml |
| 屈折率調整剤 | EM3 | 300ml |
| カメラ | 5,120 x 5,120 ピクセル sCMOS |
|---|---|
| 対物レンズ | 1x,2x |
| 視野 | 6.5mmx6.5mm(1xレンズ使用時) |
| Zスキャンレンジ | 7mm |
| レーザー波長 | 488/638nm(標準搭載), 405/445/561/594nm(オプション) |
組織透明化試薬「ROCCIT」、ライトシート顕微鏡「3D Scanner」デモ実施中!
詳しくはお問い合わせください!